+34 972 83 02 02 info@cesmar.es
  • Facebook
  • Instagram
  • Facebook
  • Instagram
Cesmar Llagostera
  • INICI
  • MEDICINA I REHABILITACIÓ
  • ELECTROMEDICINA
  • PODOLOGIA
  • ACTUALITAT
  • CONTACTE
  • Català
  • Spanish
Select Page
Què és una fractura de Colles i per què es produeix?

Què és una fractura de Colles i per què es produeix?

by Cesmar Llagostera | nov. 2, 2025 | Fractura de Colles

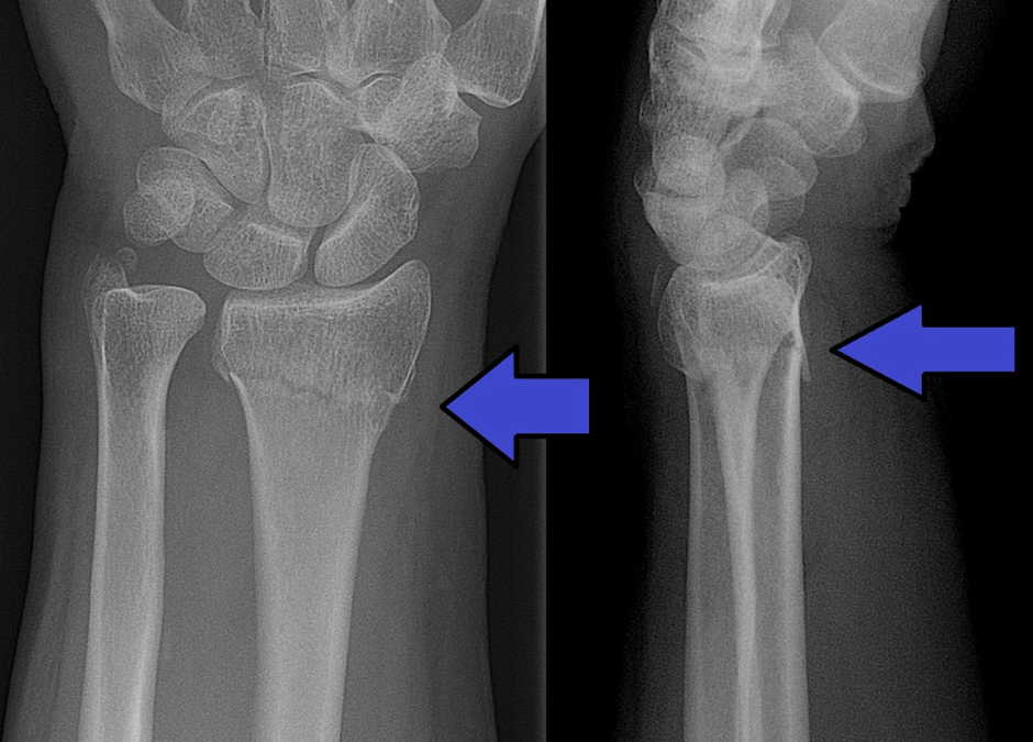
La fractura de Colles és una lesió força comuna al braç, especialment entre la gent gran o en situacions on algú cau cap endavant amb la mà estirada. Aquest tipus de fractura afecta la part distal del radi, que és l’os principal de l’avantbraç, i es...
Fractura de Colles: tractament fisioterapèutic

Fractura de Colles: tractament fisioterapèutic

by Cesmar Llagostera | ag. 4, 2022 | Fractura de Colles

Abraham Colles, va ser un cirurgià irlandès, que el 1814 va descriure per primera vegada aquesta coneguda fractura de canell, molt abans que arribaran els raigs X. Encara que realment es tracta de la part més distal del radi, la més propera al canell, la que es...

Articles recents

  • Què significa tenir líquid al genoll sense un cop previ?
  • Dolor articular crònic: quan pot ser artràlgia degenerativa?
  • Què és la fibrosi postintervenció quirúrgica?
  • Què és una fractura de Colles i per què es produeix?
  • Artràlgia degenerativa: per què apareix i com identificar-la?
  • Àlgies cervicals
  • Aplastament vertebral
  • Artrosi
  • Artrosi del pulgar
  • Artrosi del tars
  • Bursitis
  • Capsulitis retráctil
  • Contractura de Dupuytren
  • Diástasis Abdominal
  • Diatermia Profunda UHF
  • Electroestimulació tetrapolar
  • Electrólisis Percutánea
  • Epicondilitis
  • Esperó calcani
  • Esquinços
  • Fascitis plantar
  • Fibromiàlgia
  • Fibrosi postquirúrgica
  • Fisioteràpia
  • Fractura de Colles
  • Gota i hiperuricèmia
  • Herpes Zóster
  • Higiene postural
  • Incontinència urinaria
  • Malaltia de Sudeck
  • Mareig cervical
  • Neuroma de Morton
  • Osteoporosi
  • Podología
  • Síndrome de Dolor patel·lofemoral
  • Suport plantar infantil
  • Tendinitis
  • Tendinitis De Quervain
  • Trencament muscular
  • Vessament articular
  • Facebook
  • Instagram
Gestiona la teva privacitat
Per oferir les millors experiències, utilitzem tecnologies com ara galetes per emmagatzemar i/o accedir a la informació del dispositiu. Donar el consentiment a aquestes tecnologies ens permetrà processar dades com ara el comportament de navegació o identificadors únics en aquest lloc. No consentir o retirar el consentiment, pot afectar negativament determinades característiques i funcions.
Funcional Sempre actiu
The technical storage or access is strictly necessary for the legitimate purpose of enabling the use of a specific service explicitly requested by the subscriber or user, or for the sole purpose of carrying out the transmission of a communication over an electronic communications network.
Preferències
The technical storage or access is necessary for the legitimate purpose of storing preferences that are not requested by the subscriber or user.
Estadístiques
The technical storage or access that is used exclusively for statistical purposes. The technical storage or access that is used exclusively for anonymous statistical purposes. Without a subpoena, voluntary compliance on the part of your Internet Service Provider, or additional records from a third party, information stored or retrieved for this purpose alone cannot usually be used to identify you.
Màrqueting
The technical storage or access is required to create user profiles to send advertising, or to track the user on a website or across several websites for similar marketing purposes.
  • Gestiona les opcions
  • Gestiona els serveis
  • Gestiona {vendor_count} proveïdors
  • Llegeix més sobre aquests propòsits
Preferències
  • {title}
  • {title}
  • {title}